Nestor's Brain

(fMRI Work Conducted by Gary Strangman, PhD)


Anatomical Views

  • Mid-Sagittal View of Nestor's Brain ,
    ...sliced "right between the eyes".

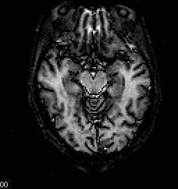
  • Horizontal View of Nestor's Brain ,
    Approximately 95 mm from the top of the head.



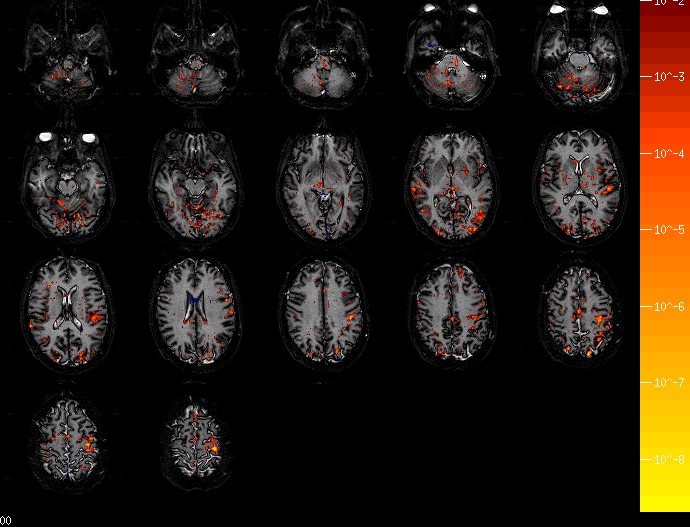
    Functional Views

  • Nestor's Brain Tracking a Motor Sequence w/o Prior Info ,
    various horizontal slices.

  • Nestor's Brain Tracking a Motor Sequence with Prior Info ,
    various horizontal slices.

  • Nestor's Brain During "Practeach" Condition in Gary's Experiment ,
    various horizontal slices.



    Other Sites

  • Gary Strangman's Web Page

  • Back to Nestor's Curriculum Vitae